Antes e Depois
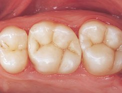
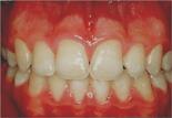
Restaurações estéticasCaso I
Antes ![]() |
Depois ![]() |
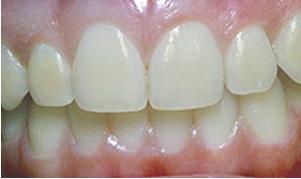
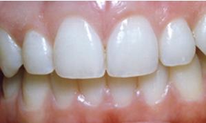
Branquemento
Caso I
Antes ![]() |
Depois![]() |
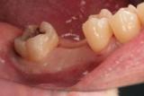
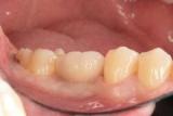
Casos clínicos de Implantologia
Caso I
| Antes |
Depois |
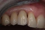
Caso II
| Antes |
Depois |
Descrição: Para a colocação de implantes foi necessário realizar previamente um estudo individualizado.
Foi importante sistematizar as áreas específicas da implantologia e reconhecer a importância dos exames complementares de diagnóstico (TAC – permitiu determinar a altura e espessura de osso necessária para a correcta colocação do implante; ortopantomografia e outros).
A quantidade de tecido ósseo existente numa área determinada do rebordo alveolar desdentado é o que determinou a colocação de implante.
Ambos os casos demostram a colocação de implantes unitários e coroas cerâmicas (após a fase da osteointegração).

Veja mais no nosso canal www.youtube.com/clinicadentys
Casos clínicos de Ortodontia
Caso I
Antes ![]() |
Depois![]() |
Caso II
Antes ![]() |
Depois ![]() |
Descrição: Após o estudo dos casos, através de radiografias, quer de perfil, quer panorâmicas, bem como pelas fotografias efectuadas, é visível, o overbite e overject aumentado em ambas as situações, ou seja, não é possível visualizar nenhum dos dentes inferiores, pela discrepância existente entre as estruturas dento-maxilares.
Também é visível apinhamento e desalinhamento dos dentes. Ambas as correcções foram efectuadas com ortodontia fixa.
O alinhamento e posicionamento dentário foram corrigidos e os paciente como resultado obtiveram oclusão perfeita, em plena harmonia com o rosto.

Veja mais no nosso canal www.youtube.com/clinicadentys
©2016 Dentys - Clínica de Medicina Dentária em Aveiro. All rights reserved.








