Endodontia
Em definição, a Endodontia refere-se à parte
da medicina dentária que se ocupa, da etiologia “causa”,
diagnóstico, prevenção e tratamento das patologias pulpares e
dos tecidos periapicais associados com o intuito de conservar
o dente.
Por outras palavras, consiste na remoção da polpa coronária e
radicular e posterior selamento desse espaço com materiais
obturadores.
A cárie, de uma maneira geral, é um dos principais factores
que levam à desvitalização de um dente, quase sempre
caracterizada por uma destruição progressiva dos seus tecidos
mineralizados, que em norma leva à exposição da polpa e nervo
do dente.
Quando isto acontece, os sintomas apresentados podem ser
vários, desde a dor à mastigação ou ao toque, dor com o frio e
com o quente e lesões periapicais diversas (como abcessos,
fístulas).
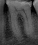
Este tipo de tratamento é efectuado em 3
sessões, todas elas interligadas entre si:
1ª sessão: Cavidade de acesso, remoção da polpa coronária e
radicular e desinfecção do dente
2ª sessão: Obturação dos canais radiculares (material
termo-plástico)
3ª sessão: Restauração/reabilitação do dente
Antes![]() |
Depois![]() |
Copyright ©2016 Dentys - Clínica de Medicina Dentária em
Aveiro. All rights reserved.


