Estética dentária
Um sorriso perfeito e saudável abre muitas
portas!
Actualmente ter um sorriso bonito não é apenas mais uma
vantagem, é uma exigência na sociedade e pode ser acessível a
todos.
A restauração de dentes com resinas compostas (materiais com a
cor dos dentes) é hoje em dia um tratamento muito procurado,
não só para restabelecer a função, mas sobretudo para repor e
resolver problemas estéticos.
Com estes materias de restauração é possível:
- Restaurar dentes fracturados
- Corrigir defeitos superficiais (forma, tamanho e posição
dos dentes)
- Alterar a cor do dente, sem recorrer a coroas cerâmicas
- Fechar diastemas (espaços entre os dentes)
- Tratamento de cáries
Antes![]() |
Depois![]() |
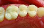
Tenho restaurações escuras (metálicas) nos dentes
posteriores.
Vale a pena trocá-las por restaurações de cor branca ou da
cor dos dentes?
A troca de uma restauração metálica por uma estética
ou, como dizem os pacientes, “por uma branca”, pode dar-se por
dois motivos principais: por problemas que envolvem a saúde do
dente, como uma fractura da restauração pré-existente ou mesmo
por recidiva de cárie (nesse caso, a troca não é discutida e
pode, perfeitamente, ser feita uma restauração estética), ou
por motivo exclusivamente estético.
Antes![]() |
Depois![]() |
Vantagens das restaurações estéticas:
- Simples e rápidas (na maioria numa só consulta)
- Baixo custo
- Qualidade estética excelentes
Se existe alguma restauração na sua boca que não goste ou
queira mudar, venha visitar-nos!Copyright ©2011
Dentys - Clínica de Medicina Dentária em Aveiro. All rights
reserved.




